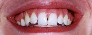
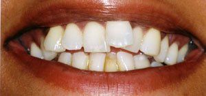
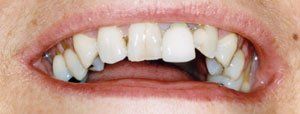
Gallery Of Smiles
Cosmetic Dentistry In Derby
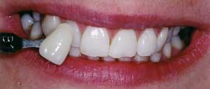
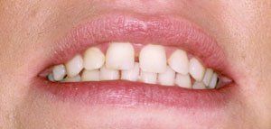
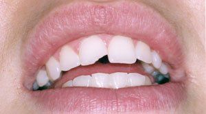
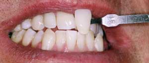
Gallery
At 57FG Dental Practice, we have helped hundreds of patients improve the health and overall wellbeing of their oral health.
Veneers, crowns, fillings and full smile makeovers are among the treatments we have administered to help people feel better about their teeth.
Take a look at our gallery below or contact us to see what we can do for you.






























